Hoy, 26 de marzo, se celebra el Día Mundial de Prevención del Cáncer de Cuello Uterino. Como fuente, tomamos ClinicalKey Student, nuestra plataforma de confianza con decenas de recursos basados en la evidencia (libros, vídeos, imágenes 3D, casos clínicos, bancos de preguntas y un largo etcétera), para compartir información de valor sobre este tipo de cáncer durante el embarazo y proponeros un ejercicio práctico con unas flahscards.
Aprovechamos esta fecha y a ti lector, futuro o actual profesional de la salud, para subrayar la importancia de la prevención, el diagnóstico temprano y el tratamiento adecuado de la enfermedad.
Cáncer de cuello uterino en el embarazo: de la detección al tratamiento
Comenzamos con información tomada de la obra González Merlo. Obstetricia, disponible en ClinicalKey Student. Hablamos del cáncer de cuello uterino como el tercer cáncer más frecuente durante el embarazo, aunque su incidencia es baja (aproximada de 1 caso por cada 1.000–10.000). La mayoría de los casos (93%) se diagnostican en el primer y segundo trimestre. En torno al 74% se detectan en estadios iniciales (estadio I), especialmente en contextos con programas de cribado.
Detección y diagnóstico
- El diagnóstico se basa en:
- Citología cervical
- Colposcopia
- Biopsia cervical
- Durante el embarazo, los cambios fisiológicos del cuello uterino pueden dificultar la interpretación de estas pruebas, por lo que es recomendable que las realice personal con experiencia.
- En algunos casos, puede ser necesaria una conización para determinar con precisión el estadio tumoral.
Prevención
- Es fundamental realizar una citología durante el embarazo si no se dispone de una reciente.
- En mujeres mayores de 30 años, se recomienda añadir la detección del virus del papiloma humano (VPH).
Lesiones precancerosas
- Las neoplasias intraepiteliales cervicales de alto grado (CIN 2-3) no se tratan durante el embarazo.
- Se realiza seguimiento estrecho mediante citología y colposcopia hasta el final de la gestación.
Síntomas principales
- El síntoma más frecuente es el sangrado vaginal.
- Dado que el sangrado puede ser común en el embarazo, es fundamental explorar el cuello uterino para identificar su origen y descartar lesiones sospechosas.
- Es especialmente importante en mujeres con antecedentes de patología cervical.
Factores clave para el manejo
- El tratamiento debe individualizarse en función de:
- El estadio del tumor
- La edad gestacional y la madurez fetal
- No existe un protocolo único, por lo que la toma de decisiones es clínica y multidisciplinar.
Tratamiento
Estadios iniciales (≤ IB)
- En muchos casos, el tratamiento puede diferirse hasta alcanzar la madurez fetal (alrededor de la semana 34) o incluso hasta el final del embarazo.
- Esta estrategia no suele empeorar el pronóstico si se realiza un seguimiento adecuado.
Estadios avanzados (≥ IB3)
- Existe mayor riesgo de progresión de la enfermedad.
- Opciones según el momento del diagnóstico:
- En la segunda mitad del embarazo: retrasar el tratamiento hasta la madurez fetal y posteriormente iniciarlo.
- En el primer trimestre: puede recomendarse la interrupción del embarazo para iniciar tratamiento precoz.
- En algunos casos, se puede optar por quimioterapia neoadyuvante para controlar la enfermedad hasta que el feto sea viable.
Tratamiento definitivo
- Es el mismo que en pacientes no gestantes:
- Histerectomía (simple o radical según el estadio)
- Linfadenectomía cuando esté indicada
- Puede realizarse tras una cesárea, semanas después de un parto vaginal o durante el embarazo si se decide no continuarlo.
Seguimiento
- La resonancia magnética es una herramienta útil para monitorizar la enfermedad durante el embarazo, ya que no presenta riesgos para el feto.
- Permite evaluar la evolución en casos donde se decide retrasar el tratamiento.
Vía del parto
- En estadios iniciales, el parto vaginal puede ser una opción segura.
- En estadios avanzados, está contraindicado debido al riesgo de sangrado y diseminación tumoral, especialmente en zonas como la episiotomía.
Idea clave
El manejo del cáncer de cuello uterino en el embarazo requiere un equilibrio entre el tratamiento oncológico y la seguridad fetal, con decisiones individualizadas basadas en el estadio de la enfermedad y el momento de la gestación.
Cáncer de cuello uterino: ejercicio práctico
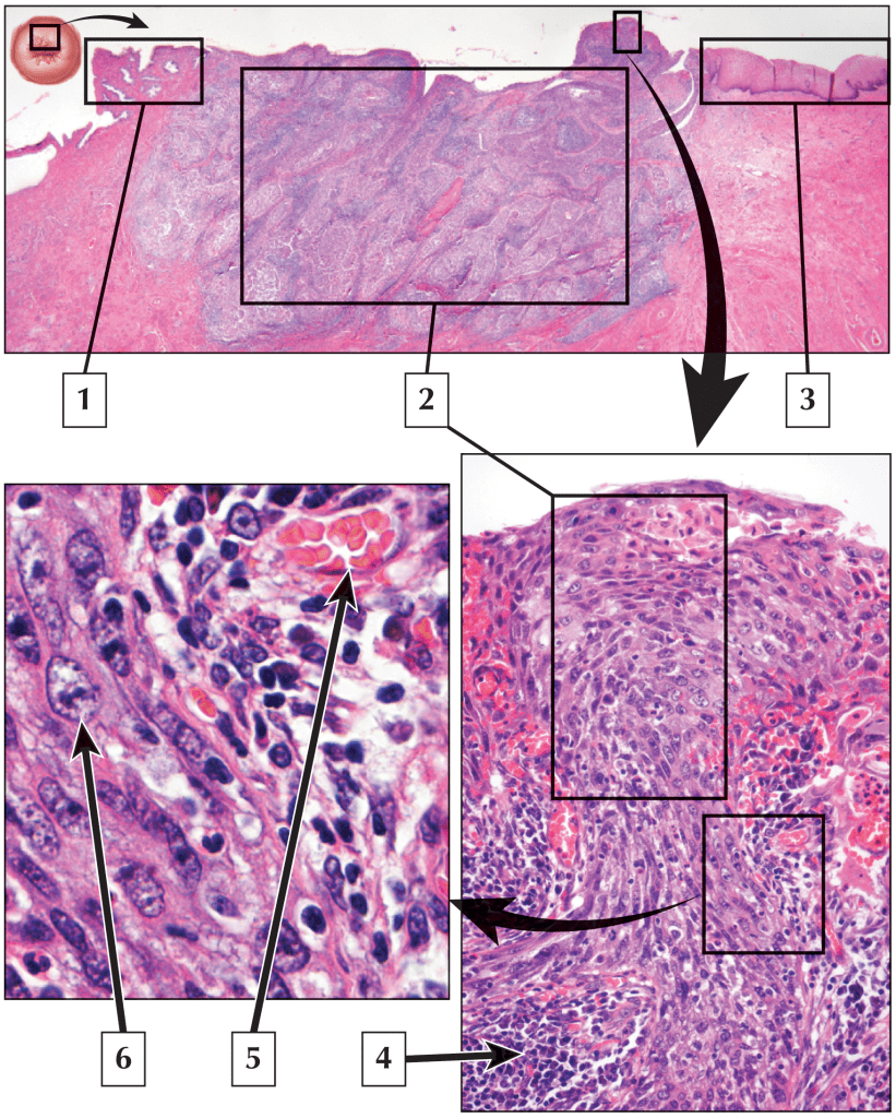
Ahora os proponemos un ejercicio práctico trabajando con las Netter. Flashcards de histología, 2ª edición, también disponibles en ClinicalKey Student. Os compartimos una imagen que muestran vistas histológicas de la progresión del cáncer de cuello uterino con etiquetas. ¿Sabrías determinar el nombre y lo que muestran cada una de ellas? Déjanos tus respuestas en comentarios o comprúebalo a través de este enlace en ClinicalKey Student ó en nuestros perfiles sociales: Instagram @elseviermedicina ó Instagram @elsevierenfermeria.

Ovalle, William K., Netter. Flashcards de histología, 18, 443-470. Copyright © 2021 Elsevier España, S.L.U.
De todos los carcinomas de cuello uterino, el 80-90% son carcinomas epidermoides que aparecen en la zona de transformación, mientras que el 10-15% son adenocarcinomas que se originan a partir de las células glandulares superficiales. Después del análisis citológico, el diagnóstico se establece mediante colposcopia y biopsia. Un cambio precanceroso anómalo, conocido como neoplasia intraepitelial cervicouterina, puede progresar a una displasia intraepitelial escamosa, que puede convertirse en un carcinoma in situ o en un carcinoma infiltrante. Una vez que las células malignas atraviesan la lámina basal, se diseminan por el estroma del cuello uterino subyacente. Desde el punto de vista histológico, la neoplasia invasiva se caracteriza por nidos y lenguas infiltrantes de epitelio plano estratificado atípico, tanto queratinizado como no queratinizado. Los nidos o islas de células pueden ser irregulares o adoptar una forma angulada.
Incidencia y tratamiento: El cáncer de cuello uterino es el segundo cáncer por orden de frecuencia en las mujeres y la principal causa de muerte relacionada con el cáncer en los países subdesarrollados. El tratamiento depende del estadio en que se encuentre la enfermedad. Consiste en la extirpación quirúrgica en los estadios iniciales o en radioterapia con quimioterapia para los casos localmente avanzados. Si el cáncer ha metastatizado, a menudo solo se utiliza la quimioterapia.

Cáncer de cuello uterino durante el embarazo. Contenido adaptado de González-Merlo. Obstetricia, 8ª edición.
Accede a la obra a través de ClinicalKey Student.

Ejercicio práctico adaptado de Netter. Flashcards de histología, 2ª edición.
Disponible en formato impreso, eBook y en ClinicalKey Student.

Deja una respuesta